Regional

Ribuan ASN Sleman ikuti lomba olahraga tradisional

Ribuan aparatur sipil negara di lingkungan Pemerintah Kabupaten Sleman, Daerah Istimewa Yogyakarta, mengikuti berbagai lomba olahraga tradisional dalam rangka memperingati ...

Jumlah sapi di DIY mencukupi kebutuhan

Dinas Pertanian Daerah Istimewa Yogyakarta menyatakan produksi sapi dari seluruh kabupaten dan kota provinsi ini dapat mencukupi kebutuhan masyarakat atau pengusaha ...

Gunung Kidul minta pemerintah desa berinovasi di bidang ekonomi

Pemerintah Kabupaten Gunung Kidul, Daerah Istimewa Yogyakarya, mendorong pemerintah desa untuk berinovasi dalam bidang perekonomian melalui program "bursa ...

Kemenhub uji coba radar cegah kecelakaan kapal

Kementerian Perhubungan akan menguji coba radar lokal karya Institut Teknologi Sepuluh Nopember Surabaya (ITS), yakni sistem peringatan dini dan monitoring keselamatan ...

KSAD: penanggulangan terorisme memerlukan tindakan komprehensif

Penanggulangan terorisme memerlukan upaya tindakan komprehensif yang menyentuh akar permasalahan utama tanpa memberikan label pada satu kelompok, seperti agama, negara ...

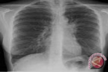
Rokok elektrik memicu radang paru-paru

Para peneliti menyebutkan bahwa vaping atau rokok eletrik lebih berbahaya ketimbang rokok tembakau sebab perasa yang terdapat dalam rokok elektrik dapat memicu peradangan ...

TNI dirikan 100 tenda huntara di Donggala

Prajurit TNI Komando Tugas Gabungan Terpadu (Kogasgabpad) mendirikan 100 tenda Hunian Sementara (Huntara) bantuan Pemerintah Jepang yang diperuntukan bagi warga pengungsi ...

Jokowi ucapkan selamat ulang tahun kepada Prabowo

Presiden Joko Widodo mengucapkan selamat ulang tahun ke-67 kepada Prabowo Subianto melalui akun resminya di twitter.com. "Saya menyampaikan selamat kepada sahabat ...

Pelamar dokter spesialis di Sleman minim

Pelamar calon pegawai negeri sipil untuk formasi dokter spesialis di Kabupaten Sleman, Daerah Istimewa Yogyakarta pada 2018 sangat minim sehingga dikhawatirkan tidak ...

120 perusahaan di Kulon Progo ikut BPJS Ketenagakerjaan

Pemerintah Kabupaten Kulon Progo, Daerah Istimewa Yogyakarta, mendorong 120 dari 300 pemberi kerja pelaku usaha belum mendaftarkan tenaga kerjanya dalam kepesertaan ...